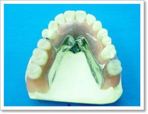
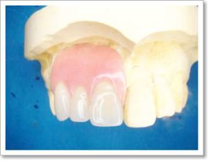
当社で製作しました義歯の一例をご紹介いたします。
患者様一人ひとりに合わせた義歯をご提供させていただきます。義歯に関するご質問等はどうぞお気軽にお問合せください。
Copyright (C) 2007 代々木デンタルクラフト All Rights Reserved.