チャーミングデンチャーとは?
-
当社の新製品 ノンクラスプデンチャー です。
多くの方々は、デンチャーに対して抵抗感をもっています。
また、自分がデンチャーを入れている事を、他の人に、知られたくないと、思っているものです。
そこで審美性を考慮し金属のクラスプを無くした製品がチャーミングデンチャーです。
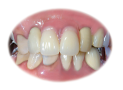
チャーミングデンチャーの特徴
- メタルの維持装置がないため、見た目が綺麗で審美性に優れています。
- 金属アレルギーの方にも対応でき生体親和性に優れています。
- 耐吸収性に優れ臭いがつきにくい。
- 簡単な即重による修復、リライニングはチャアーサイドで可能です。
- 主な成分はポリカーボネートです。
ギャラリー
![]() クラスプデンチャー |
![]() チャーミングデンチャー |
![]() クラスプデンチャー |
![]() チャーミングデンチャー |
![]() チャーミングデンチャー |
![]() チャーミングデンチャー |
![]() チャーミングデンチャー |
![]() チャーミングデンチャー |
![]() チャーミングデンチャー |
![]() チャーミングデンチャー |
![]() チャーミングデンチャー |
![]() チャーミングデンチャー |

















